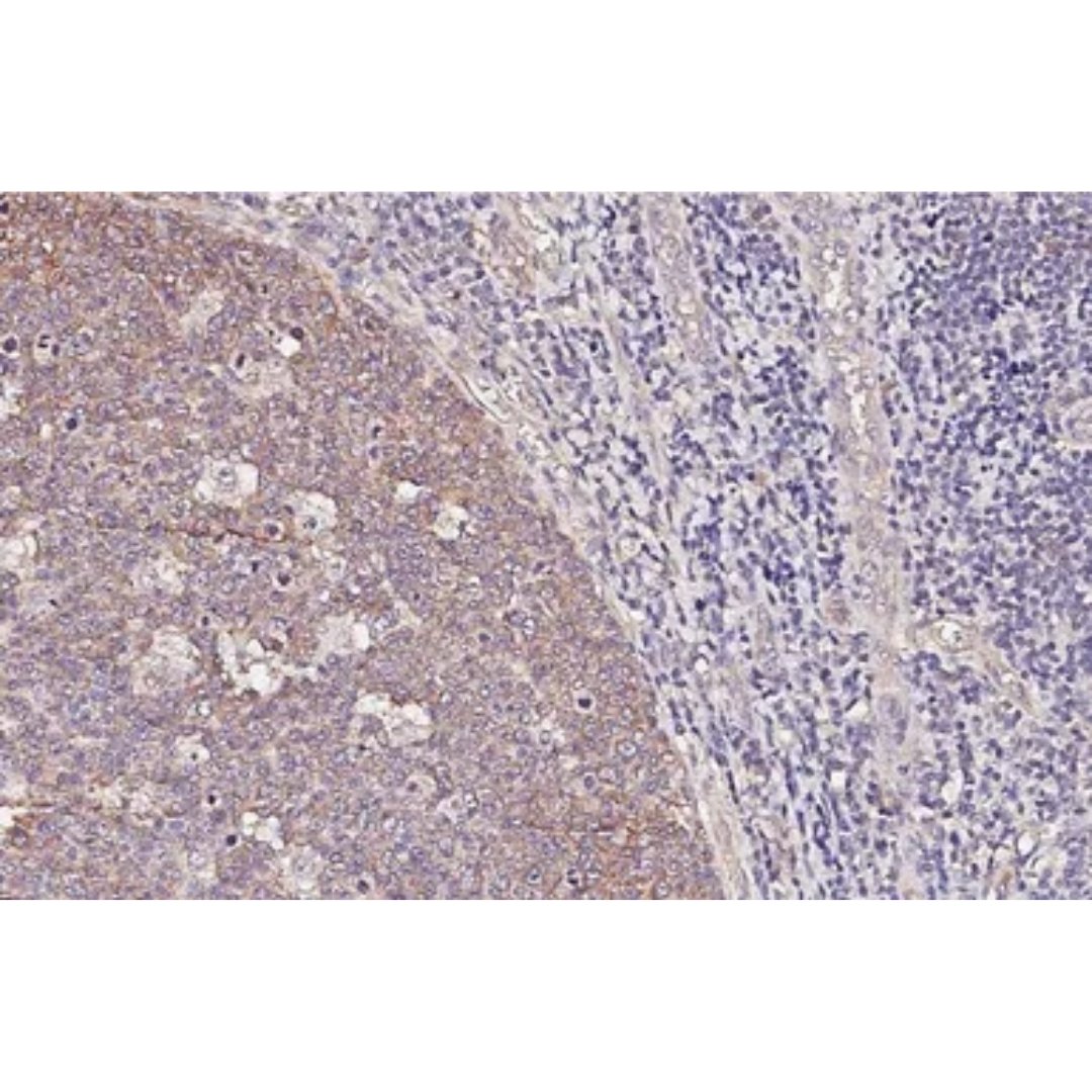
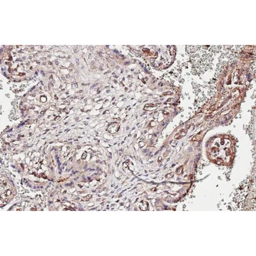
Alpha Tubulin Antibody [HL2162]
Cat No.: GTX638140 | Size: 25ul & 100ul
Host: | Rabbit | |
Reactivity: | Human, Mouse, Rat, Zebrafish, Rabbit, Cat, Dog, Hamster, African green monkey, E. coli | |
Clonality: | Monoclonal | |
Clone Name: | HL2162 | |
Application: | WB ICC/IF IHC-P | |
Immunogen: | Recombinant fragmemt of human alpha Tubulin. | |
Concentration: | 1 mg/ml (Please refer to the vial label for the specific concentration.) | |
Purification: |
| |
Conjugation: | Unconjugated | |
Storage: | Store as concentrated solution. Centrifuge briefly prior to opening vial. For short-term storage (1-2 weeks), store at 4ºC. For long-term storage, aliquot and store at -20ºC or below. Avoid multiple freeze-thaw cycles. |